Esthetische tandheelkunde
Met esthetische tandheelkunde worden uw tanden niet alleen functioneel behandeld, maar ook cosmetisch. Natuurlijke, witte en rechte tanden bieden u het zelfvertrouwen om te lachen. De tandarts zorgt er met verschillende esthetische behandelingen voor dat alle tanden in de natuurlijke vorm, in de juiste stand en op de perfecte lengte gemaakt zijn. Kies voor een natuurlijk en mooi gebit. Echter kan u soms een orthodontische / beugel behandeling te ondergaan.
- Rechte tanden
- Een natuurlijke witte lach
- Een gebit als nieuw
Esthetische behandelingen
De tandartsen van Tandheelkundig Centrum de Leyens bieden op het gebied van esthetische tandheelkunde verschillende soorten behandelingen aan. Zo kunnen we tanden bleken, individuele tanden vervangen of het gehele aangezicht in één keer als nieuw maken via het TrySmile-traject.
- Facings van porselein
- Gebitsimplantaten
- Kronen en bruggen
- Orthodontie
- Tandprothese
- Tanden bleken
- TrySmile
In onze tandartsenpraktijk helpen we u met verschillende behandelingen aan een natuurlijk en recht eindresultaat.
Prijzen esthetische tandheelkunde
De prijzen voor tandheelkundige behandelingen zijn in heel Nederland hetzelfde en worden jaarlijks vastgesteld door de Nederlandse Zorgautoriteit, de techniekkosten kunnen wel verschillen per tandtechnisch laboratorium.
Facings
Facings zijn dunne schildjes van porselein die over de voortanden worden geplaatst. Voor het maken van deze facings werken wij samen met de tandtechnici van laboratorium Excent Tandtechniek en Edris Rasta van Excent tandtechniek. In deze laboratoria worden kwalitatief hoogwaardige kronen en facings gemaakt. Hierdoor kunnen wij u de beste materialen bieden voor uw gebit.
Tanden bleken
Bent u niet tevreden over de kleur van uw tanden? Dan kunt u ervoor kiezen uw tanden te bleken. U krijgt van ons een op maat gemaakt bitje met bleekgel (met 10% carbamideperioxide) waarmee u thuis eenvoudig uw tanden bleekt. De tint van uw tanden bepaalt u hierbij zelf, door het bitje kortere tijd of langere tijd te laten zitten.
Door koffie, thee, roken en voedsel kunnen de tanden na verloop van tijd weer geel worden. Wij adviseren daarom deze behandeling regelmatig te herhalen.
Orthodontie
Door middel van orthodontie ofwel een beugel kunnen scheefgegroeide tanden in veel gevallen weer rechtgezet worden. Wij werken hiervoor met een speciaal soort beugel: de Airaligner. Dit zijn doorzichtige beugels die om de twee weken worden vervangen voor een nieuwe. Hiermee worden de tanden elke twee weken meer richting de gewenste posities verplaatst. In sommige gevallen kan het zo zijn dat u wordt verwezen naar een orthodontist.
Een slotjesbeugel heeft door het veelvuldig toepassen bij tieners een kinderlijk imago. Hierdoor laten sommige volwassenen zich tegenhouden een beugel te nemen. Met onze doorzichtige beugels willen wij deze mensen ook een oplossing bieden. Raadpleeg de pagina orthodontie voor meer informatie.
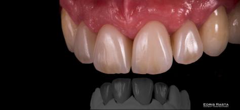
Het TrySmile-traject in 3 fases
Voor patiënten die graag het gehele gebit willen verfraaien of niet tevreden zijn over hun huidige kronen of bruggen, bieden wij ons Excellent Esthetisch traject TrySmile. Het TrySmile-traject is ontwikkeld om de patiënt een voorproefje te geven van de ultieme glimlach die met esthetische tandheelkunde kan worden bereikt. U ziet hierbij een indicatie van het eindresultaat voordat de kronen en facings worden gemaakt.

Onze tandarts werkt tijdens dit traject nauw samen met tandtechnieker Edris Rasta van Excent. Edris Rasta is een gerenommeerd en gerespecteerd keramisch expert en maakt hoogwaardige kronen en bruggen met een natuurlijke uitstraling. Kijk op zijn Facebook voor voorbeelden van zijn werk en bekijk hieronder hoe het TrySmileTrySmile-traject in zijn werk gaat.
Fase 1: Analyse van gebit
Tijdens de eerste fase worden er vanuit verschillende hoeken foto’s van het gebit gemaakt, die vervolgens in de computer worden verwerkt. De tandarts of tandtechnieker tekent hierna de ideale vorm van uw gebit, het zogeheten ‘Dental Smile Design’, digitaal op de computer uit. De nieuwe vorm, lengte en stand van het de afzonderlijke tanden wordt hierbij bepaald.

Fase 2: Mock-up controleren
Na de analyse van het gebit maakt tandtechnieker Edris een mal van het te verwachten eindresultaat. Deze mal met waxfacings geeft een goede indicatie van het eindresultaat. Tijdens de tweede afspraak plaatst tandtechnieker Edris Rasta deze mock-ups in de mond en kunt u samen met hem beoordelen of de vorm, maat en stand van de tanden volledig naar wens zijn. Eventuele aanpassingen kunnen hierbij direct besproken en toegepast worden.
Na het plaatsen van de mock-up wordt de patiënt opnieuw gefotografeerd. Deze foto’s worden na de behandeling gebruikt om het verschil te laten zien aan de patiënt. Deze voor-en-na-foto’s worden aan het eind van de behandeling aan de patiënt getoond middels een filmpje.
Fase 3: plaatsen van kronen, facings of implantaten
In deze laatste fase van het TrySmile-traject worden de kronen en facings klaargemaakt voor plaatsing. Op basis van de mal slijpt de tandtechnieker de benodigde materialen in de gewenste maten.
Tot slot worden deze definitieve kronen en facings ter plekke, waar de patiënt bij is, opgebakken. De tandtechnieker kan hierdoor, indien nodig, deze elementen ter plekke qua kleur en vorm aanpassen. Vervolgens kan de tandarts de definitieve facings en kronen dezelfde dag nog in de mond plaatsen. Met deze vorm van esthetische tandheelkunde kan de tandarts u een mooi en kwalitatief hoogwaardig eindresultaat bieden.

Esthetisch consult aanvragen
Heeft u een beschadigd gebit of heeft u altijd al een mooie rechte tanden willen hebben? De tandartsen van Tandheelkundig Centrum de Leyens in Zoetermeer helpen u aan een stralende glimlach. Vraag vrijblijvend een esthetisch consult aan via onderstaand formulier. Onze tandarts, Fabio Rigutto controleert uw gebit en biedt u een behandeling die nodig is voor een natuurlijke glimlach.

